قسم علوم إصلاح الأسنان
Department of Restorative Dental Sciences

أ.د. ياسر بن فواز الفواز
رئيس قسم علوم إصلاح الأسنان
أرحب بكم في الصفحة الخاصة بقسم علوم إصلاح الأسنان، أحد الأقسام الأكاديمية والسريرية الرائدة في كلية طب الأسنان بجامعة الملك سعود، والذي يضم ثلاثة مسارات علمية رئيسية هي: إصلاح الأسنان، علاج الجذور وعصب الأسنان، ومواد طب الأسنان.
نبذة عن القسم
يُعدّ قسم علوم إصلاح الأسنان أحد الأقسام الأكاديمية والسريرية الرائدة في كلية طب الأسنان بجامعة الملك سعود، ويضم ثلاثة مسارات علمية رئيسية هي: إصلاح الأسنان، علاج الجذور وعصب الأسنان، ومواد طب الأسنان. ويُسهم القسم بشكل محوري في تطوير التعليم والتدريب والبحث العلمي في هذه التخصصات، ويُعدّ من الأقسام الأساسية التي تواكب التطور المستمر في علوم طب الأسنان الحديثة.
يضم القسم نخبة من أعضاء هيئة التدريس والباحثين المتخصصين، ويقدم برامج أكاديمية متقدمة تشمل مرحلة البكالوريوس وبرامج الدراسات العليا (الماجستير، الدكتوراه، والزمالات)، إضافة إلى برامج تدريبية تهدف إلى إعداد ممارسين ذوي كفاءة عالية في مجالات الإصلاح والعصب وعلوم المواد، مع التركيز على التقنيات الرقمية والتطبيقات الإكلينيكية الحديثة.
كما يضطلع القسم بدور ريادي في البحث العلمي، من خلال مشاريعه وإسهاماته في تطوير المعرفة في علوم المواد السنية، وطب الأسنان الترميمي، وعلوم العصب. وعلى الصعيد السريري، يقدم القسم خدمات متقدمة للمرضى في عيادات إصلاح الأسنان وعيادات علاج الجذور بمستشفى طب الأسنان الجامعي، مع الالتزام بأعلى معايير الجودة وسلامة المرضى.
الرؤية
Vision
أن يكون القسم رائداً على المستوى الإقليمي والعالمي في التعليم والبحث العلمي والخدمات السريرية في مجالات إصلاح الأسنان وعلاج الجذور وعلوم المواد السنية.
الرسالة
Mission
إعداد كوادر مؤهلة في علوم إصلاح الأسنان وعلاج الجذور ومواد طب الأسنان، والمساهمة في البحث العلمي وخدمة المجتمع من خلال بيئة تعليمية محفزة تركز على التقنيات الحديثة والتميز الإكلينيكي.
الأهداف الاستراتيجية
1
تطوير المناهج الأكاديمية وتحديث البيئة التعليمية بما يواكب أحدث التقنيات الرقمية
2
تعزيز البحث العلمي والنشر في المجلات العلمية المصنفة عالمياً
3
تقديم خدمات سريرية متميزة وفق أعلى معايير الجودة وسلامة المرضى
4
إعداد ممارسين ذوي كفاءة عالية في مجالات الإصلاح وعلاج الجذور وعلوم المواد
5
تعزيز التعاون الأكاديمي والسريري محلياً وإقليمياً ودولياً
6
دعم أعضاء هيئة التدريس والطلاب والمتدربين لتحقيق التميز والابتكار
شعب القسم
خدمات القسم
•
التعليم الطبي - برامج البكالوريوس والدراسات العليا
•
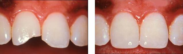
ترميم الأسنان - حشوات تجميلية وتيجان وجسور
•
علاج الجذور - باستخدام المجهر والتقنيات الحديثة
•
طب الأسنان الرقمي - التصميم والتصنيع بمساعدة الحاسوب
•
تبييض الأسنان - بأحدث التقنيات الآمنة
•
البحث العلمي - في علوم المواد والترميم والعصب
التقنيات الرقمية الحديثة
يحرص القسم على تبني أحدث التقنيات الرقمية في التعليم والممارسة السريرية، بما في ذلك أنظمة CAD/CAM للتصميم والتصنيع بمساعدة الحاسوب، والماسحات الضوئية داخل الفم، والتصوير ثلاثي الأبعاد، لتقديم أفضل مستويات الرعاية للمرضى.
البرامج التعليمية
مرحلة البكالوريوس
- مقررات إصلاح الأسنان
- مقررات علاج الجذور وعصب الأسنان
- مقررات مواد طب الأسنان
الدراسات العليا
- برنامج الماجستير في إصلاح الأسنان
- برنامج الماجستير في علاج الجذور
- برنامج الدكتوراه في علوم إصلاح الأسنان
- برنامج الدكتوراه في علاج الجذور
- برامج الزمالة التخصصية
والله ولي التوفيق
رئيس قسم علوم إصلاح الأسنان
أ.د. ياسر بن فواز الفواز


